Radiotherapy clinics are harnessing the high fidelity and speed of Varian’s HyperSight imaging solution for a host of reported reasons: bringing advanced treatment capabilities to their patients, increasing confidence for replanning decisions, increasing patient throughput to meet demand, and starting patients on treatment without delay.
HyperSight brings fast, highly accurate imaging into the treatment room. It enables the acquisition of cone-beam CT (CBCT) images in as little as six seconds, with the Hounsfield Unit (HU) accuracy required for calculating dose distributions directly on the images. The HyperSight image reconstruction algorithms, combined with the expanded field of view (FOV) offer improved visualization of larger areas of interest often encompassing the entire target volume and surrounding organs at risk (OARs). HyperSight is now available as an optional feature on Varian’s Halcyon, Ethos, TrueBeam, and Edge radiotherapy systems.
This article highlights three early adopters of HyperSight, who share their experiences. Lenox Hill Hospital in Manhattan, New York (USA), Icon Cancer Centre Holmesglen near Melbourne (Australia), and St. Joseph’s University Medical Center in Paterson, New Jersey (USA) have one thing in common: They each rely on a single Halcyon system with HyperSight to deliver all external beam radiotherapy quickly and efficiently.

Clinical value of high-resolution imaging
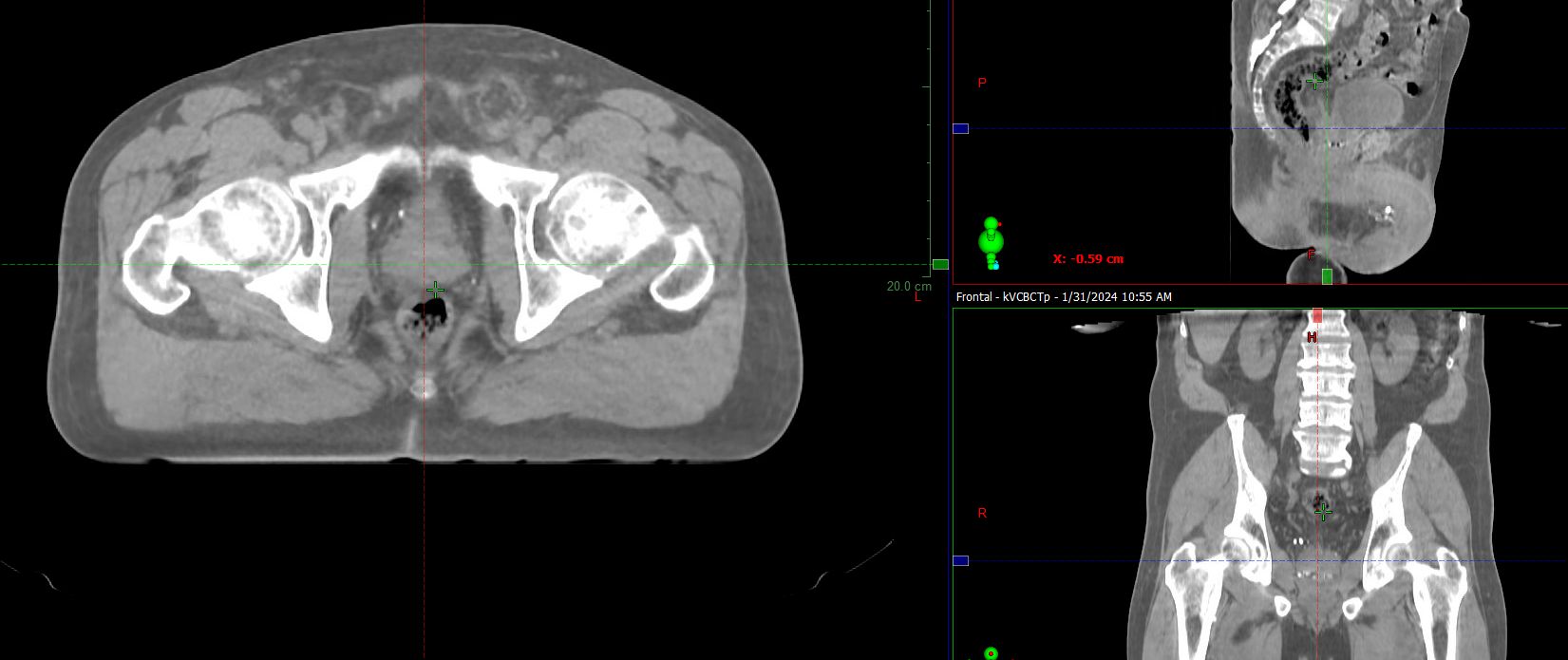
According to Wesley Talcott, MD, MBA, radiation oncologist at Lenox Hill Hospital, HyperSight, and the high-resolution images it can generate, enable him to tighten margins and treat more challenging cases. “HyperSight allows us to potentially offer treatments to patients who may be more challenging to treat,” he says, citing the case of patients who would otherwise require very large margins that could increase toxicity, patients requiring a larger field of view, and abdominal patients with bilateral hip implants. “I don’t want to say that it would be impossible to treat these patients but treating with support from HyperSight imaging certainly gives us more confidence.” Because the high-fidelity imaging has the potential to make more treatment options available to physicians and patients, Dr. Talcott looks at HyperSight as an appealing differentiator in the Manhattan area.
At St. Joseph’s University Medical Center, Adnan Danish, MD, Chief of the Division of Radiation Oncology, echoes these assertions about the value of HyperSight imaging. “A significant benefit of HyperSight is being able to adapt plans for patients who are already in treatment,” he says.
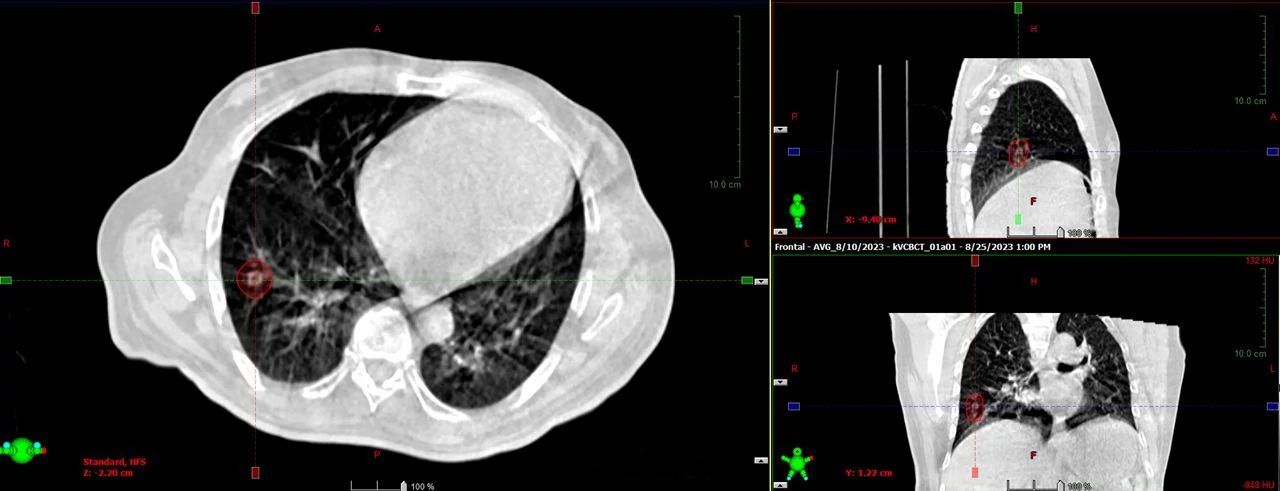
HyperSight images show how radiotherapy treatment and physiological processes such as weight loss are impacting the tumor and surrounding anatomy over a course of treatment. The enhanced-quality HyperSight CBCT images generated right in the treatment vault make it possible to more easily compensate for any changes to the tumor and nearby organs. Previously, processes for adapting to such changes often required a new CT scan on a separate machine.
“The quality of HyperSight images means that, if we see a concerning change on the CBCT image, we can re-simulate the patient on the fly and then replan, without having to take them off the treatment machine and upstairs to Radiology for re-simulation,” said Dr. Danish. “That has been a real advantage because we treat a high volume of head and neck cases, many of whom need re-simulation multiple times during their course of treatment.”

Clinicians at Icon Cancer Centre Holmesglen also use HyperSight imaging to streamline replanning decisions for patients on treatment. “When we see changes in volumes or contours, we are able to quickly run a calculation on the CBCT showing dose distributions for quicker decisions about whether to go ahead and treat or to stop and rescan,” says Sarah Hauville, Radiation Therapy Manager.
Managing throughput and schedule
For these radiation oncology departments working with a single Halcyon system, the HyperSight imaging solution is making a difference in throughput and schedule management.
Lenox Hill Hospital in Manhattan was facing greater demand than its legacy delivery system could meet. “In a single bunker site, as we are, the number of patients who can be treated per day is limited largely by the speed at which you can deliver the treatment. Our referral stream was projected to be 40 to 50 patients on treatment, but we were capped at about 25 because of the slowness of our older system,” explains Dr. Talcott. “We wanted a solution that allows us to meet the demands from our referring physicians, something that could handle that throughput.” Because adding a second vault at the hospital’s underground site in Manhattan was not possible, the solution was to replace the slow system with a compact, faster one in the same footprint—a Halcyon system equipped with HyperSight imaging solution.
Dr. Talcott considers the speed of HyperSight image acquisition to be a distinct advantage. “In-room CBCT imaging can take a while, but HyperSight is very quick. Shaving seconds off each image acquisition, especially when multiple images and adjustments are required, contributes to greater throughput, as well as to a better patient experience,” he says.

Clinical teams at both St. Joseph and Icon are utilizing the HyperSight imaging solution to relieve the schedule impact of not having a dedicated CT scanner for simulation. They have access to an assigned block of time on the hospital’s CT scanner, but scheduling can be unpredictable as priorities and conflicts come into play. Emergencies bump scheduled simulations. Also, some simulations take longer than the allotted appointment, particularly for prostate patients where bladder and rectum contours change.
“In Radiology, we have one opportunity to perform the simulation,” explains Dr. Danish. “If it’s not perfect, we may have to reschedule that patient for another day, which can delay the start of treatment.” Compounding the problem, at St. Joseph’s, Radiology and Radiation Oncology are on different floors of the hospital, which means expending significant extra time and effort in transporting devices required for simulation back and forth.
A dedicated CT scanner for Radiation Oncology is in the plans, but in the meantime, as needed, HyperSight CBCTs are used for treatment planning. “In a hospital system where we have limited resources and space, we want to offer the best care we can by optimizing our internal department procedures. HyperSight is a great solution for us, so that we aren’t completely dependent on Radiology,” says Alvin Khan, PhD, DABR, Director of Clinical Physics. “It has improved our throughput and our clinical staff experience.”
Like St. Joseph’s Medical Center, the Icon Cancer Centre Holmesglen also relies on the hospital CT scanner. “The Radiology Department is very busy because they also handle emergency patients, so we have limited access to the CT scanner,” says Hauville. With no footprint for a diagnostic CT scanner dedicated to radiation oncology, Icon Holmesglen upgraded its Halcyon system with HyperSight imaging in March 2023. This upgrade gave the Icon clinical team the ability to simulate and plan for prostate, rectum, and gynecological treatments in their own department. “Since we started utilizing HyperSight for planning, our clinicians have been very satisfied with the ability to accurately contour volumes and calculate dose distribution on the images,” reports Peter Phung, Senior Medical Physicist.
All patients are initially scheduled for CT simulation in Radiology, but HyperSight gives the team a backup to help keep scheduling and patient care on track. “We treat a large number of prostate patients, and when they struggle to prepare appropriately for their scan appointments, instead of rescheduling for another day, we can scan using HyperSight instead,” Hauville explains. She leaves gaps in the Halcyon schedule to accommodate these unplanned circumstances. “HyperSight gives us more flexibility to meet patient needs,” she concludes. “It enables us to commence the planning process without delay and start patient treatments sooner than we would without that option.”
The information captured herein represents the genuine experience of the attributed individuals and may not necessarily represent the views of Varian or the above-referenced institution. Individuals were not compensated for their participation.