图像引导放疗(IGRT)是目前肿瘤精确放疗技术的代表,其临床应用有助于减小摆位误差,提高治疗精度。IGRT可以在治疗前对肿瘤部位进行图像采集以确定本次治疗的肿瘤位置与治疗计划中肿瘤位置的差异,提高图像引导设备所生成的影像质量,能够提高放疗精度。
全新一代Halcyon智慧放疗平台的技术特点之一是快速kV CBCT成像系统,由于高速的环形机架设计,其kV CBCT的扫描速度快,同时新一代的Halcyon除配备常规的FDK图像重建算法外,增加了一种新的迭代重建算法,使用该算法重建出的图像称为iCBCT (iterative CBCT)图像。天津市肿瘤医院在国内率先引进全新一代Halcyon加速器,并于2020年6月正式投入临床使用。临床应用以来所有患者均在每次治疗前拍摄kV CBCT图像,进行图像引导的放疗。下面对iCBCT的特点和初步临床应用体会进行介绍。
图1 天津市肿瘤医院全新一代Halcyon加速器
01 iCBCT快速的图像采集和重建速度
Halcyon kV CBCT采用高速的旋转机架进行投影采集,且不用伸缩机械臂,因此CBCT全流程时间较传统C形臂直线加速器有大幅度提升。Halcyon iCBCT模式和标准模式CBCT图像使用相同的采集投影,所以iCBCT的应用并不会增加图像的采集时间。在图像重建上,为提高图像质量iCBCT的重建算法借助瓦里安专门开发的Acuros CTS算法模拟粒子的散射输运过程,其模拟精度媲美蒙特卡洛方法。该算法需要巨大的计算量,但借助于系统配备图像重建专用GPU加速技术,其所需的重建时间大幅降低,与Halcyon的标准CBCT模式相差无几。Maslowski等人的研究表明,对同一套影像(24000个像素点)进行散射对处理,蒙卡模拟的方法需要至少1200CPU小时才能完成,而iCBCT所采用的GPU加速技术仅需1.1秒。
图2为我们四例病例分别在Head、Head low dose、Pelvis和Pelvis Large模式下使用iCBCT图像算法和标准kV CBCT图像算法实际的采集和重建时间的对比。从图中可以看到,无论选择哪种模式均可在60s内完成图像采集和重建,且iCBCT与Halcyon标准模式所需的时间非常接近。总体上,iCBCT快速的图像采集和重建速度,保证了放疗流程的高效率实施。
图2 不同模式下图像采集时间和重建时间对比
02 iCBCT提高了图像质量
iCBCT重建算法同时引入了Acuros CTS和统计重建(statistical reconstruction)两种算法,提高了图像的质量。其图像同标准模式 kV CBCT图像相比主要优点为噪声减少、均匀性提高、高对比度噪声比和伪影减少等,应用到临床上最大特点为提高了软组织的分辨率。
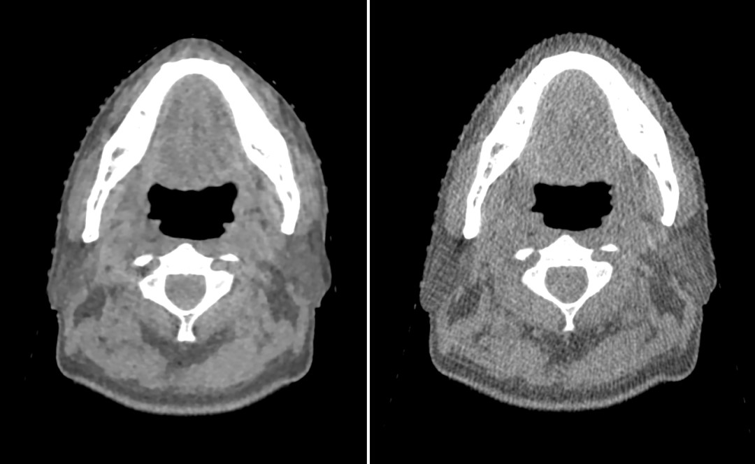
图3为本科室一头颈部病例在Head模式下iCBCT图像和标准模式kV CBCT图像的对比图,图4为使用成年男性CRIS模体Pelvis扫描模式下iCBCT图像和标准模式kV CBCT图像的对比图。自全新一代Halcyon加速器在本科室应用以来,其iCBCT技术带来的图像质量的提高,得到了医生、物理师和放射治疗师的认同。
(左图)iCBCT图像 / (右图)标准模式CBCT图像
图3 一头颈部肿瘤病例Head扫描模式下CBCT图像对比
(左图)iCBCT图像 / (右图)标准模式CBCT图像
图4 CRIS腹部模体Pelvis扫描模式下CBCT图像对比
通过对Halcyon的临床应用我们欣喜地看到快速的iCBCT技术对图像质量的提高,特别是软组织分辨率,为每日精准图像引导放疗提供了有力的保障。并且,对于头颈肿瘤伴颈部淋巴结转移及肺部肿瘤等,在治疗过程中能够监测到肿瘤缩小程度,能够指导医生是否缩小靶区,行二程放疗计划,以更好保护正常组织。同时,也有文献报道高质量的iCBCT图像可以用于精确的计算剂量,为自适应放疗的开展创造了条件。
作 者 简 介
王清鑫
天津市肿瘤医院
放疗科物理师
助理研究员,天津市医学会放射肿瘤学分会青年委员。
主要研究方向为容积旋转调强放疗的质量保证、优化算法以及深度学习在放疗中的应用等。
*Halcyon:国械注准20183050514