Nearly 40 case reports of patients treated with online adaptive radiotherapy (oART) were submitted to Cureus.com, as part of a publishing competition in collaboration with Varian Medical Affairs to increase available clinical information.
The call for papers solicited case reports of patients treated with oART guided by pre-session CT or CBCT scans. By the competition’s deadline, the vast majority of cases were submitted by users of Varian’s Ethos therapy system, and several featured advanced imaging with the HyperSight imaging solution, including metal artifact reduction.
At a time when more and more Ethos users are starting or expanding their adaptive RT programs, this large set of real-world clinical case reports provides creative concepts and guidelines to facilitate safe online adaptive treatments.
“This collection of online adaptive cases demonstrates a wide range of creative approaches to personalized, precision radiotherapy,” said Sushil Beriwal, Vice President, Medical Affairs, Digital Oncology, for Varian. “In many cases, safe radiotherapy would not have been possible without adapting plans at the time of treatment. This open access collection will be a valuable resource for Ethos users as they establish and develop their oART programs.”
Cases were submitted from 28 institutions and covered more than a dozen distinct adaptive treatments. Cases submitted included complex treatments that would be difficult to treat without online adaptation and/or advanced imaging. A wide range of other cases involved difficult treatment sites throughout the body. In almost every case, Ethos oART led to a reduction in normal tissue doses and/or a maintenance of treatment target coverage, and in some cases allowed reduction of margins below what is conventional.
The case report from researchers at Chinese PLA General Hospital was recognized with a first place award, and highlights the use of on-demand, online adaptive planning in a patient with advanced head and neck cancer to account for regression in tumor volume or changes in external body contour.
With large tumor volume reductions across the 33-session treatment, adapting plans five times during the entire course led to the maintenance coverage of the target volume and lowered the dose to normal tissues. The patient did well with treatment, with only grade 1 radiodermatitis and grade 2 oral mucositis.
The paper shows a unique solution to account for the change in external body contour for online adaptation. It also highlights the benefit of online and on-demand adaptation for head and neck cancers to account for anatomical changes.

The second place case report came from Cliniques Universitaires Saint-Luc, and examined the potential benefits of oART for patients with gastric mucosa-associated lymphoid tissue (MALT) lymphoma - a rare type of slow-growing cancer that develops in the stomach's inner lining.
In this paper, researchers were able to reduce PTV margins from a standard 12mm used in non-adaptive therapy, down to just 4mm by using a breath-hold oART methodology. This resulted in significantly reduced doses to organs-at-risk and the normal tissue surrounding the target, an important goal in improving outcomes for radiotherapy patients.

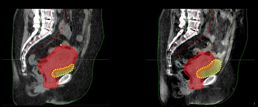
The third place case report, submitted by Amsterdam UMC, explored the potential of daily oART for bladder cancer to limit high-dose exposure of healthy tissue, compared to conventional non-adaptive radiotherapy. The paper examines a bladder cancer patient treated after cystoscopic tumor resection to 40 Gy in 20 sessions, with a simultaneous boost of 15 Gy to the tumor bed. By utilizing daily online adaptation of the treatment plan, the team was able to achieve smaller planning target volume margins. This reduced the dose to normal healthy tissues in the bladder and bowel, while maintaining 100% coverage of the target region.

Learn more about the competition and read the submitted papers on the Cureus Journal website.
The statements by Varian's customers described here are based on results achieved in the customer's unique clinical setting. Because there is no "typical" clinical setting and many variables exist, there is no guarantee that other customers will achieve the same results.